一位來自山西高校的中年教師,2021年12月起反復出現腹痛癥狀,輾轉反復就診后,最后在第一醫院確診為:胰腺癌、肝轉移。
對于一個家庭來講,無疑是晴天霹靂。大家對“癌中之王”胰腺癌的認知一直心存恐懼,如何延長患者的生存期,是患者及家屬的期望。
胰腺癌是最最致命的實體瘤之一,其具有生物學侵襲性,大多數患者診斷時已是局部晚期或者轉移性疾病。大約50%的胰腺癌患者診斷時合并有遠處轉移,主要轉移部位在肝臟。化療仍然是轉移性胰腺癌的主要治療策略,中位生存時間約4-6個月,5年生存期為1%。因此,團隊協作以及精準診療是突破困境的有力舉措。

越來越多證據表明,惡性腫瘤多學科診療模式可以為患者提供最佳的診療思路。第一醫院在黨委書記徐鈞教授的帶領下,由肝膽胰外科魏志剛主任醫師、余杰副主任醫師、張安紅主治醫師,消化內科黃慧芳主任醫師,放療科陳路鋒副主任醫師,介入科馮對平主任醫師,腫瘤科郭亞榮副主任醫師,CT室喬英主任醫師,感染病科鄧春青主任醫師,核磁影像科譚艷主任醫師,PET-CT郝新忠副主任醫師,病理科李寧副主任醫師等成員,開展肝膽胰腫瘤多學科診療以來,已完成74期、近300例患者的診療工作。為患者尋求最佳治療方案,延長患者生存期、提高其生活治療,是腫瘤多學科診療模式工作的宗旨。

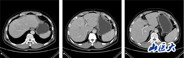
(2022-01-08基線肝臟CT靜脈期)

(2022-08-26復查肝臟CT靜脈期)
該患者在團隊成員仔細閱片、認真討論下,因患者為PD-L1 CPS高表達人群,TMB-H基因狀態。盡管目前國內外胰腺癌診療指南并沒有對該類型患者指明個體化治療策略,但通過查閱近年來已經報道的小樣本臨床研究以及個案報道資料,最終為患者制定了免疫聯合化療治療策略:PD-1單抗+AG治療6周期后,PD-1單抗+卡培他濱維持治療。2022年8月26日,患者再次完善胸腹部CT評價療效后,達到了大PR(部分緩解)的效果。多達20余處肝轉移病灶幾乎消失不見,患者可以正常工作生活。
目前,越來越多的專家關注精準診療、個體化治療,但并不意味著整個抗腫瘤診療方案可以隨意搭配組合,始終需要循證醫學的證據支持。第一醫院肝膽胰多學科診療團隊將勇攀高峰、緊跟國內外新進展,繼續為每一位患者提供最佳的診療方案,做到精準化、個體化診療。
(圖文/郭亞榮)
Copyright 2016 sxmu.edu.cn All rights reserved
晉ICP備05000478號
總訪問量: 今日訪問量:

