公共衛生學院郝燕霞及其合作者在Neurotoxicity Research發文報道鋁誘導小鼠腦組織“混合”細胞死亡和潛在的干預方式。
2019年10月4日,在Neurotoxicity Research(《神經毒性研究》)以“Aluminum-induced “mixed” cell death in mice cerebral tissueand potential intervention(鋁誘導小鼠腦組織“混合”細胞死亡和潛在的干預方式)”為題,在線發表了c7c7.app公共衛生學院郝燕霞及其合作者的關于鋁導致小鼠腦組織發生凋亡和程序性壞死及其干預方式的新認識。
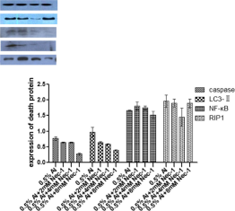
大腦是易受鋁損害的器官之一。鋁的毒性與神經行為缺陷、神經細胞功能障礙和死亡有關。本研究的目的是:1.評價細胞死亡抑制劑nec1和泛caspase抑制劑Z-VAD-FMK對鋁誘導的神經行為缺陷和神經元細胞死亡的修復效果,以證明鋁誘導細胞死亡的能力。2.初步探討鋁致癡呆動物模型中使用nec1和Z-VAD治療阿爾茨海默病等神經元細胞丟失相關疾病的可能性。我們發現nec1和Z-VAD-FMK單獨或聯合使用可以減少鋁誘導的小鼠學習和記憶障礙。病理組織學結果顯示,nec1、Z-VAD-FMK可減少al誘導的神經元死亡細胞。此外,在鋁暴露小鼠大腦中,nec1和Z-VAD-FMK可抑制細胞死亡信號通路中的一些細胞死亡相關蛋白。結論:nec1、Z-VAD-FMK可修復鋁誘導的小鼠學習記憶損傷。與Z-VAD-FMK相比,nec1對學習記憶功能損傷的修復作用更明顯。nec1、Z-VAD-FMK可修復鋁誘導的細胞形態學損傷,減少死亡細胞數量,且劑量越大修復效果越顯著。nec1的作用強于Z-VAD-FMK,但作用機制不同。他們的結合產生了最強的效果。我們的研究證實了al誘導的神經細胞壞死和凋亡在動物模型中存在,并提示了nec1和Z-VAD-FMK對神經退行性疾病中神經元死亡的潛在治療作用。


公共衛生學院牛僑教授為本文的通信作者,公共衛生學院2017級博士研究生郝燕霞為本論文的第一作者。該研究得到國家自然科學基金委重點項目(81320078)資助。

