口腔醫學院張芳團隊研究乳腺絲氨酸蛋白酶抑制劑對口腔扁平苔蘚炎性反應的作用
c7c7.app口腔醫院和c7c7.app中心實驗室合作,通過收集口腔扁平苔蘚患者的黏膜組織和體外培養人口腔黏膜角質細胞局部模擬人口腔扁平苔蘚炎性環境,從體內和體外兩方面研究乳腺絲氨酸蛋白酶抑制劑對口腔扁平苔蘚炎性反應的作用。研究成果以“Role of mammary serine protease inhibitor on the inflammatory response in oral lichen planus”為題在線發表于1月24日的《口腔疾病》(Oral diseases)。
口腔扁平苔蘚(OLP)是一種慢性炎癥性疾。洳∫蠔頭⒉』粕脅磺宄。IκB激酶α(Ikkα)調節的乳腺絲氨酸蛋白酶抑制劑(MASPIN)已被證明參與了慢性炎癥過程,但MASPIN對OLP慢性炎性反應的作用尚不清楚。因此,本研究的目的是探討MASPIN在OLP中的表達及其在炎癥反應中的作用。
本研究利用免疫組化染色和Real-time PCR分別檢測OLP及健康對照組中MASPIN、Ikkα的亞細胞定位和表達情況;ELISA比較OLP及健康對照組中炎性細胞因子(TNF-α,IL-6)的水平。LPS刺激人口腔角質細胞(HOKs)部分模擬OLP炎性環境,隨后進行脂質體轉染實驗,轉染MASPIN質:虸KKα siRNA,利用Real-time PCR和Western Blot、ELISA分別檢測MASPIN過表達、IKKα沉默后LPS刺激的HOKs中MASPIN、IKKα及炎性細胞因子的mRNA和蛋白表達。
本研究認為過表達MASPIN或沉默IKKα可能緩解LPS引起的炎性反應,推測MASPIN及IKKα可能參與并影響了OLP的發生發展,這為OLP的發病機制及藥物治療提供新的研究思路。
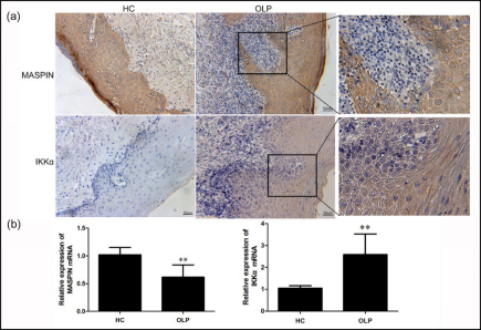
OLP病損中MASPIN表達降低,IKKα和炎性細胞因子表達升高
免疫組織化學結果顯示MASPIN和IKKα在OLP組織中均呈陽性表達。其中MASPIN主要定位在OLP上皮層的胞質中。雖然IKKα在HC組織中不表達,但IKKα表達于OLP病損上皮層,細胞質亦是IKKα主要的定位部位(圖1a),Real-time PCR實驗結果表明,同HC組相比,MASPIN在OLP組中低表達,而IKKα在OLP組中高表達(圖1b)。這些結果表明MASPIN和IKKα均參與了OLP的發病機制,且MASPIN和IKKα在OLP的炎癥環境中可能是負相關關系。同時ELISA結果顯示OLP組中TNF-α和IL-6的水平顯著升高(圖2)。

圖1不同組織中MASPIN及IKKα的定位表達情況

圖2不同組織中TNF-α和IL-6的表達情況
LPS刺激HOKs成功誘導了口腔炎性環境
使用不同濃度的LPS刺激HOKs24h,CCK-8和ELISA實驗檢測HOKs的增殖及炎性細胞因子(TNF-α、IL-6)表達情況,結果顯示10μg/ ml的LPS為刺激HOKs的最佳濃度,成功誘導了口腔炎性環境(圖3)。

圖3 LPS刺激HOKs成功誘導口腔炎性環境
MASPIN過表達抑制了HOKs中IKKα和炎性細胞因子的表達
MASPIN質粒轉染成功后24h加入LPS,于培養箱中繼續培養24h,收集細胞,提取細胞總RNA、蛋白及上清,進行Real-time PCR實驗、Western Blot實驗及ELISA實驗來檢測相關基因和蛋白的表達,實驗結果表明過表達MASPIN基因能夠抑制LPS刺激的HOKs中IKKα和炎性細胞因子TNF-α,IL-6的基因和蛋白表達。

圖4 MASPIN過表達抑制IKKα和炎性細胞因子的表達
IKKα沉默促進了HOKs中MASPIN表達,抑制了炎性細胞因子的分泌
使用同樣的方法成功轉染IKKα siRNA后24h加入LPS,于培養箱中繼續培養24h,收集細胞,提取細胞總RNA、蛋白及上清,進行Real-time PCR實驗、Western Blot實驗及ELISA實驗來檢測相關基因和蛋白的表達,實驗結果表明沉默IKKα基因能夠抑促進LPS刺激的HOKs中MASPIN表達、抑制TNF-α和IL-6的表達。

圖5IKKα沉默促進MASPIN表達、抑制炎性細胞因子表達
c7c7.app口腔醫學院研究生徐娜為第一作者,c7c7.app口腔醫院黏膜科主任張芳副教授為通信作者。該研究項目得到了c7c7.app博士啟動基金和c7c7.app口腔醫院科技創新基因的支持。