
近日,由我校第二醫院特聘教授、華盛頓大學醫學院教授張瑋與唯強醫療共同研發的ZIPPER? 一體式主動脈弓覆膜支架系統在我校第二醫院順利完成全球首例患者臨床入組。本次手術在張瑋教授、符偉國教授、董紅霖教授及其帶領的我校第二醫院血管外科團隊(閆盛、常文凱、田琴琴)的共同努力下完成。術后各位專家對于ZIPPER? 一體式主動脈弓覆膜支架系統治療主動脈弓部病變的效果給予了高度的評價。隨后,中心又先后入組了第二與第三例患者,完成全球前三例該新款支架的臨床項目入組。
首例患者是一位55歲的女性,她患有高血壓約2年時間,平時也會規律服用多種降壓藥,但血壓控制始終不盡人意。2023年4月下午,她出現不明原因的頭痛,在家拔罐緩解少許便未到醫院就醫,次日凌晨突感胸悶、胸背疼痛伴有呼吸困難等癥狀、家人急忙撥打了120,把患者送入醫院急診科進行救治,醫生在急診科行胸腹主動脈CTA時,顯示主動脈弓部-降主動脈及腹主動脈壁間血腫,遂收治入醫院血管外科,患者入院10天后復查血腫仍未有改善,依然伴有胸背部疼痛等不適,如不進一步處理,可能發展為夾層危及生命,患者及家屬經過與醫生團隊了解溝通,決定進行創傷小、恢復快的介入手術治療。張瑋教授、符偉國教授、董紅霖教授及其血管外科團隊(閆盛、常文凱、田琴琴)共同商討手術方案,最終確定使用Zipper?一體式主動脈弓覆膜支架系統,行胸主動脈覆膜支架腔內隔絕術+無名動脈、左頸總動脈、左鎖骨下動脈分支重建術為患者進行治療。董紅霖教授及其血管外科團隊根據患者術前頭顱CT平掃提示雙側側腦室旁缺血灶,血壓控制不穩定,屬夾層壁間血腫非典型夾層等風險點,制定了完整的手術方案,術中經股動脈置入Zipper支架主體,經預留導絲超選無名動脈,并確保主體支架對位準確,順利置入左頸總動脈、左鎖骨下動脈支架,重建弓上三分支。手術過程非常順利。術后觀察主動脈及分支覆膜支架定位準確;無內漏;分支支架通暢,動脈供血正常。


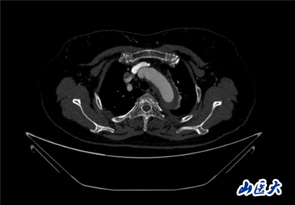
術前CTA

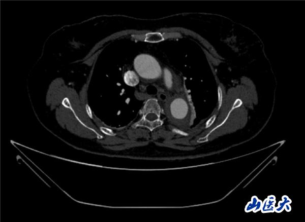
術中造影結果


術后效果
張瑋教授表示,主動脈弓部病變的腔內治療一直備受關注,近年來國內外已涌現出諸多優秀的器械在這一領域展示出了優異的臨床治療效果。ZIPPER?支架的誕生基于希望設計一款安全性能高、操作簡便、且能適應多種弓部血管病變及不同解剖結構的產品。我們希望通過更多的臨床數據來驗證該產品的安全性和有效性。
董紅霖教授作為我校第二醫院臨床試驗中心負責人,帶領中心團隊承擔多項國家級多中心臨床試驗項目。同時,董紅霖教授作為血管外科學術帶頭人,帶領的血管外科團隊堅實的人才梯隊建設和過硬的專業技術支撐,也是促成本次Zipper支架全球前三例病例納入試驗項目并順利完成手術的關鍵因素。
張瑋教授,MD, FACS, DFSVS,前國際血管外科學會副主席,華盛頓大學醫學院教授。現任美國Annals of Vascular Surgery;《血管外科年鑒》共同主編; 《血管外科年鑒:創新報道》雜志總輯編;美國血管外科學會杰出會員。
符偉國教授,博士生導師,現任復旦大學附屬中山醫院血管外科主任,復旦大學血管外科研究所所長。國家放射與治療臨床醫學研究中心副主任;上海市醫學會血管外科專科分會前任主任委員;上海市醫師協會血管外科醫師分會會長;海峽兩岸醫藥衛生交流協會血管外科學分會會長;中華醫學會外科學分會血管外科學組副組長;中國醫師協會血管外科醫師分會副會長;中國醫師協會腔內血管學專業委員會;主動脈夾層專家委員會主任委員;中國醫師協會腔內血管學專業委員會副主任委員;中國醫師協會老年學分會血管外科專業委員會副主任委員;中國醫師協會介入醫師分會大血管介入專業委員會副主任委員;中國醫療保健國際交流促進會血管外科專業委員會副主任委員;中華醫學雜志英文版、中華外科雜志;中國實用外科雜志等編委。
董紅霖教授,醫學博士,博士后。我校第二醫院副院長,血管外科教授、博士生導師,博士后導師;第四軍醫大學外科學博士;美國路易斯安那州立大學博士后,英國劍橋大學Addenbrook醫院高級訪問學者;山西省血管外科學科帶頭人;中國醫師協會血管外科分會常委;中國微循環學會外周血管疾病分會門靜脈高壓學組副組長;中國中西醫結合學會頸動脈疾病學組副組長;中國醫師協會腔內血管分會血透通路學組副組長;山西省醫師協會血管外科專委會主任委員;山西省衛生健康委血管外科質控中心主任委員;山西省血栓與肺栓塞專科聯盟理事長;山西省醫學會血管外科專委會副主任委員;山西省百千萬高端領軍人才;中華血管外科雜志編委;血管與腔內血管外科雜志編委等。
(圖文/田琴琴)
Copyright 2016 sxmu.edu.cn All rights reserved
晉ICP備05000478號
總訪問量: 今日訪問量:

