近日,我校第二醫院重癥醫學科三病區針對兩例老年急性呼吸窘迫綜合征(ARDS)患者,采用俯臥位通氣技術開展救治,取得良好效果。
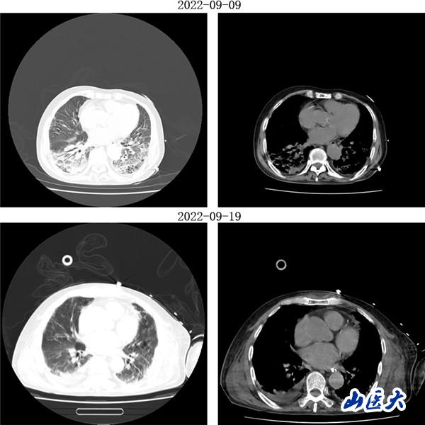
兩名患者均為老年病患,其中63歲的一位女性,為肥胖患者(BMI=29)且患有2型糖尿。ú〕10年以上,平素血糖控制差,波動于15-20mmol/L),在全麻下行腰椎椎管狹窄手術,術中及術后出現了嚴重的低氧血癥(氧合指數不足90mmHg)合并新發急性廣泛前壁心肌梗塞,帶著氣管插管轉入ICU。另一名患者是一位從外地轉來的75歲的男性患者,因摔傷導致左側股骨頸骨折,平素肺部基礎差,診斷為慢性阻塞性肺疾。–OPD),存在散發肺大皰。在就診期間,患者出現肺部痰多且粘稠,指脈氧飽和度差(SpO2<85%)轉入ICU治療。之后,患者肺部情況繼續加重,并出現重度休克表現,給予氣管插管接呼吸機輔助治療,行胸部CT可見雙肺感染重,間質為主,吸氧濃度需求100%,氧合指數最低低至102mmHg,全身重度水腫。
重癥醫學科三病區張文凱主任團隊深入分析了兩位患者的病情。考慮到兩名老年患者均已出現急性呼吸窘迫綜合征,決定采用俯臥位通氣技術為他們治療。在張文凱主任的指導下,侯林義主治醫師帶領張承、孫潔住院醫師對女性患者經俯臥位通氣治療,92小時后復查胸部CT,雙肺明顯好轉,氧合指數由90上升至300mmHg以上,吸氧濃度由100%降至35%,ARDS明顯改善;對男性患者,采用聯合持續性血液濾過(CRRT)治療方案,經俯臥位通氣治療66小時后復查胸部CT,顯示明顯改善,同時氧合指數由102上升至360mmHg左右,吸氧濃度需求下降至40%,全身水腫情況也明顯減退。

(女性患者治療前后胸部CT對比)

(男性患者治療前后胸部CT對比)
俯臥位通氣技術是患者在俯臥位進行的機械通氣,是一種治療急性呼吸窘迫綜合征的輔助措施,其機制是利用重力作用,增加前胸部的血流量和背部的通氣量,改善氣體交換。隨著全球新型冠狀病毒肺炎(COVID-19)的大流行,俯臥位通氣技術挽救了許多重度新冠肺炎患者,在新冠肺炎救治過程中發揮了重要的作用。該技術對醫護人員的技能、開始時機的把握、時間及體位均有較高要求,需要具有豐富臨床經驗和高度責任心的醫護人員密切配合和監測護理。
近年來,重癥醫學科三病區運用俯臥位通氣技術成功救治多名出現急性呼吸窘迫綜合征的危重癥患者,均取得了良好效果,為救治危重、復雜病人奠定了更加堅實的呼吸支持基礎。
(圖文/侯林義 郭琳)
Copyright 2016 sxmu.edu.cn All rights reserved
晉ICP備05000478號
總訪問量: 今日訪問量:

