AML與MSC來源的外泌體對MDS細胞株生物學特性的影響及機制研究
骨髓增生異常綜合征(myelodysplastic syndromes,MDS)是一組起源于造血干細胞的惡性克隆性疾。饕硐治閻渦匝赴跎佟⒃煅δ芩ソ,高危組MDS患者有向急性髓系白血。ˋcute myelogenous leukemia, AML)轉化的高風險。目前,異基因造血干細胞移植(allo-HSCT)是高危組MDS患者最好的治療方案,但其來源仍是亟需解決的問題。而間充質干細胞(Mesenchymal stem cell,MSC)是一種多能造血干細胞,在多種疾病的干細胞治療中發揮著重要的作用。此外,外泌體(exosome)是由細胞內多泡體(multivesicular body,MVB) 與細胞膜融合后,釋放到細胞外基質中的,一種直徑為30-100nm的脂質包裹體結構膜性囊泡,內部包裹了蛋白、mRNA和microRNA等物質。幾乎所有類型的細胞,都可以產生并釋放外泌體,其天然存在于體液中,包括血液、唾液、尿液和母乳。外泌體通過循環系統到達其他細胞與組織,產生遠程調控作用,被認為是細胞間交流的媒介,可影響疾病的的發生,發展和預后等。
在本工作中,研究團隊通過共培養后發現AML細胞株來源的外泌體抑制MDS細胞株的增殖、阻滯細胞周期進展、促進細胞凋亡和分化以及可致MDS細胞分泌更多的TNF-α和ROS。而間充質干細胞來源的外泌體可抑制MDS細胞的增殖、阻滯細胞周期進展、促進細胞凋亡、抑制細胞分化以及釋放更多的IL-6。
本工作探究了AML與MSC來源的外泌體如何影響MDS細胞株生物學特性,以期探討外泌體在MDS疾病進展中的作用機制,為臨床精準診療MDS提供新的思路和理論依據。
A

B

C

D

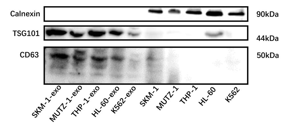
圖1.透射電子顯微鏡下外泌體的形態特點(A);納米粒子追蹤分析顯示粒子大小分布(B);蛋白質印跡分析外泌體和細胞裂解產物上的標志性蛋白(C);流式細胞術檢測外泌體的標志性蛋白(D)
A



B

C

D

E

F

G


圖2.AML細胞株的來源外泌體對MDS細胞株增殖的影響(A);AML細胞株來源的外泌體對MDS細胞株增殖、分化的影響(B);AML細胞株來源的外泌體對MDS細胞株周期的影響
(C);AML細胞株來源的外泌體對MDS細胞株凋亡的影響(D);AML細胞株來源的外泌體致MDS細胞株細胞因子的變化(E);AML細胞株來源的外泌體使MDS細胞株釋放Caspase3蛋白的情況(F);AML細胞株來源的外泌體使MDS細胞株釋放ROS的情況(G)
A

B

C

D

E


圖3.間充質干細胞來源的外泌體對MDS細胞株增殖的影響(A);間充質干細胞來源的外泌體對MDS細胞株增殖、分化的影響(B);間充質干細胞來源的外泌體對MDS細胞株周期的影響
(C);間充質干細胞來源的外泌體對MDS細胞株凋亡的影響(D);間充質干細胞來源的外泌體致MDS細胞株細胞因子的改變(E)

圖4.AML細胞株來源的外泌體影響MDS的轉化模式圖
王宏偉和任方剛是該論文的共同通訊作者。劉曉麗是該論文的第一作者。該項目獲得血液病分子診療山西省重點實驗室以及山西省歸國留學基金的資助。
[1]Adès L, Itzykson R, Fenaux P. Myelodysplastic syndromes[J]. Lancet (London, England), 2014, 383(9936): 2239-2252.
[2]Cazzola M. Myelodysplastic Syndromes[J]. The New England Journal of Medicine, 2020, 383(14): 1358-1374.
[3]Estey E, Hasserjian R P, D?hner H. Distinguishing AML from MDS: a fixed blast percentage may no longer be optimal[J]. Blood, 2022, 139(3): 323-332.
[4]Estey E, Hasserjian R P, D?hner H. Distinguishing AML from MDS: a fixed blast percentage may no longer be optimal[J]. Blood, 2022, 139(3): 323-332.
[5]Zhang Y, Wu J, Qin T, Xu Z, Qu S, Pan L, Li B, Wang H, Zhang P, Yan X, Gong J, Gao Q, Gale R P, Xiao Z. Comparison of the revised 4th (2016) and 5th (2022) editions of the World Health Organization classification of myelodysplastic neoplasms[J]. Leukemia, 2022, 36(12): 2875-2882.